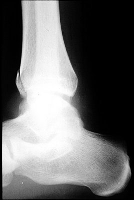
Return to Tillaux Fracture