Pronator Sign
Home Up Location Diagnosis
Back Next

 

Atlas of Signs in Musculoskeletal Radiology is approved by the ARRS (American Roentgen Ray Society) and is included in AJR Webreview
A. Gentili,MD, M. Beller, MD, S. Masih, MD, L.L. Seeger, MD

Diagnosis:

Wrist Fracture

Discussion:

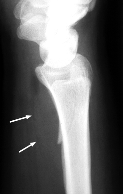
A. Normal pronator fat pad. B. Displaced pronator fat pad. Lateral wrist x-ray, a reveals abnormal bulging of a fat plane adjacent to an area of underlying osseous injury. The ventral bulging of the fat plane overlying the pronator quadratus muscle has been coined the "pronator sign." Although it typically means underlying fracture is present, it may also be seen in simple soft-tissue injury of the same region. It is a good sign and should alert the radiologist of possible fracture when present.


Normal fat pad - Click on the image for a larger versionALateral Wrist - Click on the image for a larger versionB

References:

bulletZimmers TE: Fat plane radiological signs in wrist and elbow trauma. Am J Emerg Med 1984 Nov;2(6):526-32.          [See related articles]

 

 

Google
 
Web Gentili.net


Atlas of Signs in Musculoskeletal Radiology is approved by the ARRS (American Roentgen Ray Society) and is included in AJR Webreview
A. Gentili,MD, M. Beller, MD, S. Masih, MD, L.L. Seeger, MD