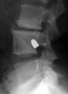
Tumbling Bullet Sign
Home Up Location Diagnosis
Back Next

 

Atlas of Signs in Musculoskeletal Radiology is approved by the ARRS (American Roentgen Ray Society) and is included in AJR Webreview
A. Gentili,MD, M. Beller, MD, S. Masih, MD, L.L. Seeger, MD

Diagnosis:

Post traumatic bone cyst

Discussion:

Two sets of frontal and lateral radiographs, separated only by time, which reveal the "tumbling bullet sign"--which is simply a bullet which changes its location and orientation within a solitary bone cyst. This sign serves two purposes. It is documentation of the evolution of a solitary bone cyst as a corollary of trauma, and reveals the free movement of the foreign body within the confines of the lesion establishing its cystic rather than solid nature. It is similar to the fallen fragment sign.


 - Click on the image for a larger versionA - Click on the image for a larger versionB - Click on the image for a larger versionC - Click on the image for a larger versionD

References:

bulletTaxin RN, Feldman R.: The tumbling bullet sign in a post-traumatic bone cyst. Am J Roentgenol Radium Ther Nucl Med 1975 Jan;123(1):140-3.          [See related articles]

 

 

Google
 
Web Gentili.net


Atlas of Signs in Musculoskeletal Radiology is approved by the ARRS (American Roentgen Ray Society) and is included in AJR Webreview
A. Gentili,MD, M. Beller, MD, S. Masih, MD, L.L. Seeger, MD