
Amputation through
the lower limb account for 85% of all amputations performed at the present time.
Numerous reports have established that the success of rehabilitation following amputation
is directly related to the level of limb loss. At least 90% of patients with BKA
amputations will successfully use a prosthesis. In contrast, there is only a 25%
success rate of prosthesis usage in the AKA patient. In the case of amputation for
ischemic disease, the level of amputation is chosen based on the blood supply and
therefore chance of successful healing. Clinical judgement is now being
supplemented with radiological and other techniques (e.g. ultrasound, aai, xenon
clearance, and transcutaneous oxygen tension measurements) to better determine were this
level would be in a given patient.
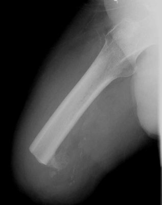
The image shown demonstrates an AKA. This is a good result and the stump is of a
length sufficient for fitting of a prosthesis.


The images shown demonstrate increased collateral vessels and an occluded SFA on the
right. These images are critical to help the surgeon decide between possible
treatment options (bypass, angioplasty, or amputation). Clinical exam and imaging
aid in the decision as to what level to select when amputation is deemed necessary.