Treated Osteo
Home Up Risk Factors Imaging Differential Diag. Cases References Index
Back

Advanced Imaging of the Diabetic Foot and Its Complications
Copyright © 1999 T. Learch, A. Gentili. All rights reserved.
Revised: November 16, 2004.

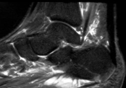
AB

56-year-old diabetic man (A) sagittal STIR image shows edema in the inferior aspect of the calcaneus, consistent with osteomyelitis. (B) Repeat sagittal STIR image six weeks after antibiotic therapy shows normal calcaneus consistent with successful treatement.
(Click on the images to see larger versions)

Google
 
Web Gentili.net

Advanced Imaging of the Diabetic Foot and Its Complications
Copyright © 1999 T. Learch, A. Gentili. All rights reserved.
Revised: April 29, 2006.
>