Extraskel. Chondrosarc.
Home Plantar Fasciitis Plantar Fibromatosis Dermatofibroma Fibrohistiocytic Tumor Morton's Neuroma Hemangioma PVNS Gout Inclusion Cyst Melanoma Extraskel. Chondrosarc. References

 

Extraskeletal Myxoid Chondrosarcoma

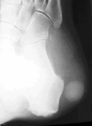
A rare low-grade soft tissue sarcoma that occurs at a mean age of 50 years. It often presents as a slowly growing painful and tender soft-tissue mass, usually affecting the extremities. 40 to 45 percent are metastatic lesions at the time of presentation. On CT or plain radiography, a soft tissue mass with ring, arc, stippled, and highly opaque calcifications may be noted. They most commonly are isointense to muscle on T1 and hyperintense (isointense to fat) on T2 W images. T1W post Gd images show contrast enhancement. Low signal intensity foci of calcification are present. They may mimic a cyst or myxoma.

64-year-old male with a painless soft tissue mass in the lateral aspect of the right heel. Plain radiograph demonstrates a densely calcified mass in this region. MR demonstrates this mass to be isointense on T1 and hyperintense on T2W images, with a central area of hypointense calcification.

 

Back Home Next


Google
 
Web Gentili.net

©Gentili.net 1998-2006