Seroma and Epidural Scar
Home Up Introduction References Index

 

Up
Wound Infection
Seroma and Epidural Scar
Epidural Hematoma - CT
Epidural Hematoma - MRI
Instability
Graft Reabsorption
Endplate Fracture
Graft Collapse
Nonunion
Displaced Strut Graft
Broken Screw
Screw in Spinal Canal
Slipped rod
Screw in Disc space
Screw Loosening & Hematoma
Screw Backing Out
Screw Loosening

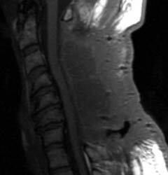
Seroma and Epidural Scar

46 y.o.  male, initial complaint of progressed with myelopathy, difficulty walking, and imbalance. Underwent laminectomy C3 to C7, 2 months prior to these images. Worsening numbness and weakness brought patient to seek neurosurgical consultation again, prompting repeat imaging.

T1 Sagittal - Click on the image to enlargeA T1 Sagittal post contrast - Click on the image to enlargeB
T2 Sagittal  - Click on the image to enlargeC D
Click on the images to view a larger version!
Sagittal T1 pre (A) and post contrast (B),  sagittal T2 (C) and Axial T1 post contrast (D) MRI images of the cervical spine demonstrating a large posterior fluid collection with an obvious sinus tract inferiorly and associated gas bubbles. This was proved to be a post-operative seroma and epidural scar (note the thick rind of enhancement) that was partially accounting for this patient's residual and worsening symptoms despite the initial decompressive surgery.

 


Google
 
Web Gentili.net

©Gentili.net 1998-2006